愛知県蒲郡市の歯科クリニック。医療法人 基裕会 酒井歯科医院です。

電話でのご予約・お問い合わせは
TEL.0533-57-1511

〒443-0104 愛知県蒲郡市形原町西御屋敷59-6

矯正治療orthodontics

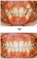
叢生(八重歯、乱ぐい歯)

   歯が重なり合ってでこぼこになってしまっているかみ合わせを叢生(そうせい)といいます。この場合、歯ブラシが上手にあたらないためにむし歯や歯周病になりやすく、また、人にあたえる印象もよくありません。原因としては、歯の大きさに対して土台(歯槽骨)が小さいため、歯のはえる隙間がなかったり(顎骨の発育不良)乳歯がむし歯などで早い時期に歯が抜けてしまったり、また、遺伝なども考えられます。
治療方法として、軽度ならばマルチブラケット法を用いて、非抜歯治療で治すことも可能です。重度ならば、マルチブラケット法を用いて、たいてい抜歯治療で治します。 
 
上顎前突(出っ歯)
   上の歯が前に突き出しているかみ合わせを上顎前突(じょうがくぜんとつ)といいます。この場合、前歯が出ているので口唇が閉じにくく、いつも口が開いているので人にぼーっとした印象を与えることがあります。その他に食べ物がよく噛めず、口からこぼしたり発音が不明瞭になったりします。また、これらのことでコンプレックスをもち、消極的になってしまう人もいます。原因としては、遺伝によるものや口呼吸、指しゃぶりなどの悪習癖がある場合が考えられます。

治療方法としては混合歯列期(歯のはえかわり途中)では、上顎の発育をおさえるようにヘッドギアーを使用したり下顎の発育をうながすのにファンクショナルアプライアンスを使用します。指しゃぶりなどの悪習癖がある人は、それをやめさせるように指導したり習癖除去装置をとりつけます。永久歯列期では、ヘッドギアーを使用しながらマルチブラケット法で治療します。多くの場合、抜歯治療で治します。
 
   
下顎前
   下の歯が上の歯より前で咬んでしまうかみ合わせを反対咬合(はんたいこうごう)といいます。この場合、食物がうまく噛めなかったり、サ行、タ行などの発音が不明瞭で聞き取りにくかったりしす。
また、下あごが目立つことによるコンプレック
スをもってしまう人もいます。原因としては、遺伝による場合や乳歯から永久歯にうまく生えかれなかっり舌が大きく、舌癖がある場合、唇顎口蓋裂の手術の影響などが考えられます。

治療方法としては、乳歯列、混合歯列(歯の
生えかわり途中)時期の反対咬合では、上顎の発育の 妨げになるため、早めにフェイシャルマスクなどで上顎に発育をうながしたり、チンキャップで下顎をおさえて上下のバランスをとります。また、永久歯列になったときに仕上げの矯正治療が必要になる人もいるためその後の観察も大切です。永久歯列時期の反対咬合は、多くの場合マルチブラケット法で抜歯治療で治します。
土台(顎骨)のズレが大きく歯の矯正治療だ
けでは改善できない場合、外科手術を併用して下あごをさげる方法もあります。
 

ージの先頭へ
酒 井 歯 科 医 院医療法人 基裕会 酒井歯科医院

〒443-0104
愛知県蒲郡市形原町西御屋敷59-6
TEL 0533-57-1511